矯正開始時期と当院での治療例
矯正の開始時期は第2大臼歯が萌出して永久歯列完成の12歳以上であればいつでも大丈夫で、成人でも出来ます。これを2期治療といいます。
一方で、1期治療というのがあり、これは、小学校2~4年生くらいで、永久歯の前歯が上下4ずつ生えたころに行います。
1期治療の目的は、前歯が受け口だったり、すごく出っ歯だったり、あるいは放置すると永久歯が生えるスペースが無く八重歯になったり、歯ならびががたがた(叢生)になるのを避けるためです。
1期をやれば2期が不要というわけではありませんが、2期治療が良い条件で開始でき期間が短くなるという利点があります。
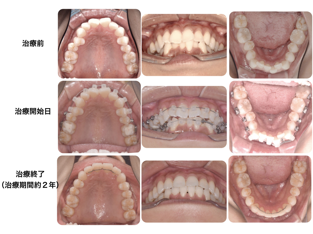
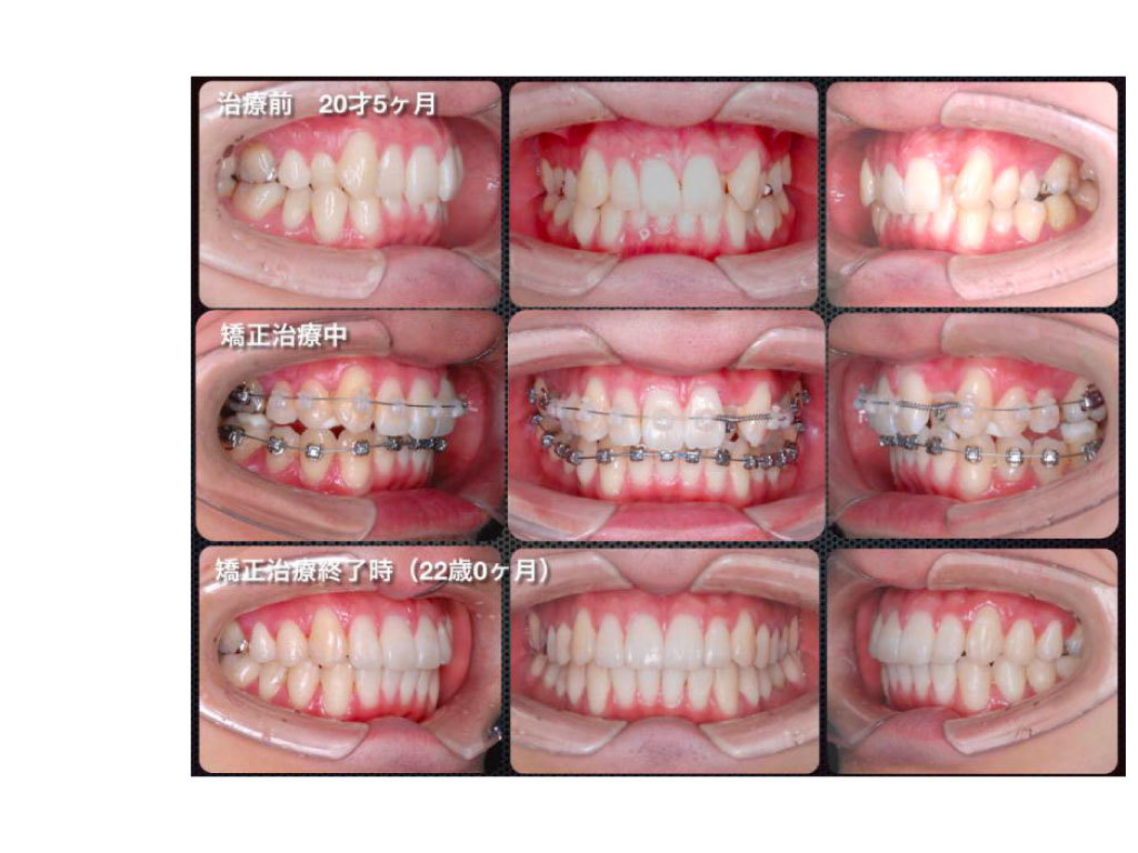
以下に患者さんから承諾を得た症例を掲示します。
参考にしていただき、気になった方は、お気軽にご相談ください。
※各画像はクリックすると大きく表示されます。



